Anti-PTEN (Phospho-Ser370) Antibody (43062)
Data
- -
- -
Antibody DetailsProduct DetailsReactivity Species Human ⋅ Mouse ⋅ Rat Host Species Rabbit Immunogen Peptide sequence that includes phosphorylation site of Serine 370 (D-V-S(p)-D-N) derived from human PTEN and conjugated to KLH. Product Concentration 1.0 mg/ml Formulation PBS (without Mg2 and Ca2 ), pH 7.4, 150mM NaCl, 0.02% sodium azide and 50% glycerol. State of Matter Liquid Product Preparation Affinity-purified on phosphopeptide; non-phosphopeptidereactive antibodies were removed by chromatography on non-phosphorylated peptide Storage and Handling This antibody is stable for at least one (1) year at -20°C. Country of Origin USA Shipping Next Day 2-8°C Applications and Recommended Usage? Quality Tested by Leinco Immunoblotting: use at dilution of 1:500-1:1,000. A band of ~54kDa is detected.
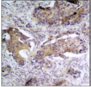
Immunohistochemistry: use at dilution of 1:50-1:100. Immunofluorescence: use at dilution of 1:100-1:200. These are recommended working dilutions. End user should determine optimal dilutions for their application. Each investigator should determine their own optimal working dilution for specific applications. See directions on lot specific datasheets, as information may periodically change. DescriptionSpecificity Rabbit Polyclonal Antibody specific to PTEN (Phospho-Ser370) Background Phosphatase and tensin homolog (PTEN) was identified as a tumor suppressor that is mutated in many cancers. PTEN is a phosphatidylinositol-3,4,5-trisphosphate 3-phosphatase. It contains a tensin-like domain as well as a catalytic domain similar to the dual specificity protein tyrosine phosphatases. Unlike most protein tyrosine phosphatases, PTEN preferentially dephosphorylates phosphoinositide substrates. It negatively regulates intracellular levels of phosphatidylinositol- 3,4,5-trisphosphate in cells and functions as a tumor suppressor by negatively regulating Akt/PKB signaling pathway. Antigen DetailsResearch Area Phosphospecific Antibodies References & CitationsTechnical Protocols |
Products are for research use only. Not for use in diagnostic or therapeutic procedures.



