Anti-RbAp48 [Clone 15G12]
Anti-RbAp48 [Clone 15G12]
Product No.: 3111
- -
- -
Clone 15G12 Target RbAp48 Formats AvailableView All Product Type Monoclonal Alternate Names p105-Rb, p110-RB1, pRb, Rb, pp110 Isotype Mouse IgG2a Applications ICC , IF , IHC FFPE , IP , WB , EMSA |
Data
Immunohistochemical analysis of paraffin-embedded H1299 xenograft, using RbAp48 + RbAp46(3111) antibody at 1:200 dilution.
Immunohistochemical analysis of paraffin-embedded C2C12 xenograft, using RbAp48 + RbAp46(3111) antibody at 1:200 dilution.
RbAp48 + RbAp46 antibody [15G12] detects RbAp48 + RbAp46 protein at nucleus by immunofluorescent analysis.
Sample: HeLa cells were fixed in 4% paraformaldehyde at RT for 15 min.
Green: RbAp48 + RbAp46 stained by RbAp48 + RbAp46 antibody [15G12] (3111) diluted at 1:500.
Red: phalloidin, a cytoskeleton marker, diluted at 1:100.
RbAp48 + RbAp46 antibody [15G12] detects RbAp48 + RbAp46 protein at nucleus by immunohistochemical analysis.
Sample: Paraffin-embedded human cervical carcinoma.
RbAp48 + RbAp46 stained by RbAp48 + RbAp46 antibody [15G12] (3111) diluted at 1:100.
Antigen Retrieval: Citrate buffer, pH 6.0, 15 min
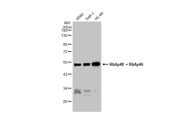
Various whole cell extracts (30 ug) were separated by 10% SDS-PAGE, and the membrane was blotted with RbAp48 + RbAp46 antibody [15G12] (3111) diluted at 1:500. The HRP-conjugated anti-mouse IgG antibody was used to detect the primary antibody, and the signal was developed with Trident ECL plus-Enhanced. - -
- -
Antibody DetailsProduct DetailsReactive Species Human Host Species Mouse Immunogen GST fusion protein corresponding to aa 1-425 of human RbAp48. Product Concentration Lot Specific Formulation PBS, pH 7.4. State of Matter Liquid Product Preparation Purified by Protein G affinity chromatography Storage and Handling This antibody is stable at -20°C for at least one (1) year; store in appropriate aliquots to avoid multiple freeze-thaw cycles. Regulatory Status Research Use Only Country of Origin USA Shipping Next Day 2-8°C Applications and Recommended Usage? Quality Tested by Leinco Immunoblotting: use at 1-5ug/mL. A band of ~48kDa is detected. Detection of RbAp48 in K562, THP-1, and HL-60 whole cell extracts (30ug), separated by 10% SDS-PAGE, with #3111 at 2ug/mL.
These are recommended concentrations. Endusers should determine optimal concentrations for their applications. Immunohistochemistry: use at 5-10ug/mL. Detection of RbAp48 in paraffin-embedded human cervical carcinoma with #3111 at 10ug/mL. Each investigator should determine their own optimal working dilution for specific applications. See directions on lot specific datasheets, as information may periodically change. DescriptionDescriptionSpecificity This antibody recognizes human and mouse RbAp48 and RbAp46. Background RbAp48, product of the RBBP4 gene in humans, is a 48 kDa nuclear protein that was first
identified through its interaction with the carboxyl-terminus of retinoblastoma protein (Rb). In
mice, the RbAp48 protein is a key component in histone acetylation, transcriptional regulation and
in the cyclic adenosine monophosphate (cAMP)-protein kinase element-binding protein CREB1
path way. Since histone acetylation and the cAMP-PKA-CREB1 pathway are extremely important
for normal hippocampal function, RbAp48 has been investigated to test whether decreased
expression of RbAp48 in aged animals is directly associated with age-related memory loss. Function Tumor suppressor that is a key regulator of the G1/S transition of the cell cycle (PubMed:10499802). The hypophosphorylated form binds transcription regulators of the E2F family, preventing transcription of E2F-responsive genes (PubMed:10499802). Both physically blocks E2Fs transactivating domain and recruits chromatin-modifying enzymes that actively repress transcription (PubMed:10499802). Cyclin and CDK-dependent phosphorylation of RB1 induces its dissociation from E2Fs, thereby activating transcription of E2F responsive genes and triggering entry into S phase (PubMed:10499802). RB1 also promotes the G0-G1 transition upon phosphorylation and activation by CDK3/cyclin-C (PubMed:15084261). Directly involved in heterochromatin formation by maintaining overall chromatin structure and, in particular, that of constitutive heterochromatin by stabilizing histone methylation. Recruits and targets histone methyltransferases SUV39H1, KMT5B and KMT5C, leading to epigenetic transcriptional repression. Controls histone H4 'Lys-20' trimethylation. Inhibits the intrinsic kinase activity of TAF1. Mediates transcriptional repression by SMARCA4/BRG1 by recruiting a histone deacetylase (HDAC) complex to the c-FOS promoter. In resting neurons, transcription of the c-FOS promoter is inhibited by BRG1-dependent recruitment of a phospho-RB1-HDAC1 repressor complex. Upon calcium influx, RB1 is dephosphorylated by calcineurin, which leads to release of the repressor complex (By similarity). {UniProtKB:P13405, UniProtKB:P33568, PubMed:10499802, PubMed:15084261}.; (Microbial infection) In case of viral infections, interactions with SV40 large T antigen, HPV E7 protein or adenovirus E1A protein induce the disassembly of RB1-E2F1 complex thereby disrupting RB1's activity. {PubMed:1316611, PubMed:17974914, PubMed:18701596, PubMed:2839300, PubMed:8892909}. NCBI Gene Bank ID UniProt.org Research Area Cancer Research References & CitationsTechnical ProtocolsCertificate of Analysis |
Formats Available
Products are for research use only. Not for use in diagnostic or therapeutic procedures.
